Hep C Discussion Forum

Members Login
Username 
 
Password 
    Remember Me  
Chatbox
Please log in to join the chat!
Post Info TOPIC: Approved for 24 weeks Harvoni after post Sovaldi / Ribavirin relapse.


Guru

Status: Offline
Posts: 1515
Date:
RE: Approved for 24 weeks Harvoni after post Sovaldi / Ribavirin relapse.
Permalink  
 


WoW Mike,

ALT 8

Dang, there's not even a carcass of bones left of that Dragon ... guaranteed.

Keep up with the good nutrition, I will be doing the same as soon as I get my wind back ...

Hit the Lemon water and Avacados along with all the other good stuff you've been doing ...

Looking Great Mike ... I see SVR for sure, let us know when it's official.

 

thumbsup.gif

Dave



__________________

63yy,HCV,2b,F3-A1, Sof/Riba,12wks Tx   SOT: 1/20/16, HCV-RNA 9,816,581, ALT 56, Hb 14.6

4wk: HCV-RNA <15 Detected, ALT 15, AST 17, Hb 13.6 EOT: 4/12/16, ALT 18 , Hb 12.9176a2f85d05d9c965eafe199f2ba9ba5.jpg SVR Achieved 7/8/16

 



Guru

Status: Offline
Posts: 618
Date:
Permalink  
 

Platelets are up though right Mike? Great numbers, I'd say your done with hep c.... For good this time!



__________________
  1. Gracie

1A. Previously treated non responder Rebetron in 2000 And Incevik in 2014 with a breakthrough at week 12. Fibroscan 15.5. VL 6,000,000. Finished 24 weeks harvoni on Dec. 19, 2015. SVR. Latest Fibroscan 8.8.



Guru

Status: Offline
Posts: 1839
Date:
Permalink  
 

By the way. I am sitting here waiting on UPS and I feel like I did when Carolyn was having a baby!

COME ON ALREADY! PLACES TO GO PEOPLE TO SEE AND ALL THAT!

You can tell she does not read this site eh? What gave that away?

Damn lil fella in brown shorts. COME ON ALREADY!

 

no



__________________

Harvoni TX 2 12 weeks. UND weeks 4, 12 and now EOT + 4 Weeks. SVR-12 09/29/16. All Glory, Honor and Thanks be to God.

"I go to war with the brothers I trust."



Guru

Status: Offline
Posts: 1839
Date:
Permalink  
 

Wow Mike, if you bring those Platelets up a bit you would be officially kicking ass!

Can I say ass?

Why yes, yes I can!

 

JimmyK!



__________________

Harvoni TX 2 12 weeks. UND weeks 4, 12 and now EOT + 4 Weeks. SVR-12 09/29/16. All Glory, Honor and Thanks be to God.

"I go to war with the brothers I trust."



Moderator

Status: Offline
Posts: 1559
Date:
Permalink  
 

Lab test from 4-7-2016 look very good. My viral load result is not showing up on my patient portal. Maybe I can pry that information out of them in the next few days. hmm



Attachments
__________________

60 yo, geno 1a, Dx 1994 HCV-HIV co-inf, Dx 2013 decompensated cirrhosis
Tx #1 - 24wks Sov+Riba /SOT 7-24-2014/UND@EOT/DETECTED@EOT+16 wks
Tx #2 - 24wks Harvoni /SOT 7-25-2015/UND@EOT,+12,+24,+52 = SVR

Mike

How To Create Your Signature / Forum Abbreviation Definitions

Support This Forum



Senior Member

Status: Offline
Posts: 197
Date:
Permalink  
 

SVR, come!!!

Great news, Mike!

__________________

G1b, stage 4, cirrhosis

Harvoni Tx: Jan-Jun 2015 for 24 wks, SVR12, SVR24

PrevTx : relapser, Sovaldi +Peg+Riba for 12 wks, Jun-Sep 2014

My thread



Guru

Status: Offline
Posts: 1782
Date:
Permalink  
 

Hey Mike

Super congrats on your latest labs, it certainly looks likely that you will acheive your hard fought battle with Hep-C.

I want to also give you credit for changing your diet and sticking to the goal of increasing your knowledge on what makes up a healthy life style.

It's turns out that in my own case and likely yours its a life long on going process to learn how to care for our own bodies needs.

WTTROYL  YES!

matt

 

 



__________________

"And in the end, the love you take is equal to the love you make"

61 year old Geno type A1, F4 Cirrhotic, started 24 weeks on Harvoni 12-17-14 ,EOT-5 week = UND, 8-31-15 =UND , SVR-24 Baby YES! 



Moderator

Status: Offline
Posts: 1559
Date:
Permalink  
 

Tig56 wrote:
 Has the Harvoni impacted the CD4:8 ratio since you started? I'm curious about how one affects the other. It's amazing the kind of balancing act you have to deal with between these two protocols.

  There are other factors involved with the improvement in my results which went from CD4-233 CD4:8 ratio 0.29 (pre-Harvoni) to CD4-320 CD4:8 ratio 0.31 (post-Harvoni). I have to take into consideration that it was CD4-169 CD4:8 ratio 0.22 (post Sov/Riba 12-2014). So my immune system recovery from ribavirin and also all the trauma / surgery that I underwent 11-2014 and 1-2015 was already happening @ Harvoni SOT (7-25-15).
 
 Another factor I'm convinced has had an effect on my immune system is diet where as I went from an extremely unhealthy diet from 11-2014 to 8-2015 when I was in the trauma center, then nursing home, to a very healthy diet since I was discharged (8-2015) to my own home. This included most of my Harvoni treatment.
 

 My CD4 cell count was 320 pre Sov/riba when my ALT/AST was 52/307 so I expect the CD4:8 ratio to keep improving now that the HCV is, most likely, eliminated. So whether the Harvoni had a direct affect on my immune system health or not, I expect the results of it will prove to be very beneficial for my future.



__________________

60 yo, geno 1a, Dx 1994 HCV-HIV co-inf, Dx 2013 decompensated cirrhosis
Tx #1 - 24wks Sov+Riba /SOT 7-24-2014/UND@EOT/DETECTED@EOT+16 wks
Tx #2 - 24wks Harvoni /SOT 7-25-2015/UND@EOT,+12,+24,+52 = SVR

Mike

How To Create Your Signature / Forum Abbreviation Definitions

Support This Forum



Veteran Member

Status: Offline
Posts: 78
Date:
Permalink  
 

I'm really happy for you Mike!

 



__________________

Genotype 1a diagnosed 2005, Cirrhosis.

Pyglated Interferon/Ribavirin 2006, non-responder 

Viekira Pak/Ribavirin 24 weeks, virus undetected EOT 12 weeks SVR Feb 2016

New Zealand 64 yo



Guru

Status: Offline
Posts: 1031
Date:
Permalink  
 

SWEEEEEET. 



__________________

Wendy 53 y/o, DX 1994, geno 1A F1

1999 TX 1 - Inter -non responder 2001 TX 2 - Peg + Riba - viral load tripled and taken off

T3:  Harvoni 12 weeks Sept. 19, 2015 ALT 41 AST 30 VL 541800 UND at EOT and SVR 24 ALT 18 AST 26 platelets 223

 



Guru

Status: Offline
Posts: 3398
Date:
Permalink  
 

Great results Mike.



__________________

Geno 1b, IL28B CT,  x3 prior relapser,  ex-cirrhotic, 75 yo, did 48 weeks with Victrelis/Peg./Riba.  VL 1.28m at start, UNDET. at 8 ,12 ,16 ,24 ,30  and 48 weeks.  EOT 15 Feb 2013 , UNDET. at EOT + 28 weeks. SVR!  Still Undet. at EOT +5 years

Malcolm



Guru

Status: Offline
Posts: 5629
Date:
Permalink  
 

I`m sure you have nothing to worry about there, Mike, with those excellent liver enzyme numbers and your platelets on the rise!  Good to see, onwards and upwards! 



__________________

Jill 

(71 yo, lives in UK)

Was Gen 3a, 

24wks Peg Ifn/Riba, Sep 2010 - Mch 2011

UND @ Wk.4, UND @ EOT, 

SVR Nov 2011 --> Still UND @ EOT + 4 yrs.

 

 



Guru

Status: Offline
Posts: 1839
Date:
Permalink  
 

Absolutely exciting news!

24 weeks of Harvoni appears to be the ultimate Dragon Slayer!

 

JimmyK



__________________

Harvoni TX 2 12 weeks. UND weeks 4, 12 and now EOT + 4 Weeks. SVR-12 09/29/16. All Glory, Honor and Thanks be to God.

"I go to war with the brothers I trust."

Tig


Admin

Status: Offline
Posts: 9298
Date:
Permalink  
 

Hi Mike,

Built like a Timex! Takes a lickin and keeps on ticking! I like seeing those platelets coming up. I don't see an HCV VL though, just your HIV VL data. I imagine they're not ready for that yet and you're right, the ast/alt would indicate a problem if there was one. Has the Harvoni impacted the CD4:8 ratio since you started? I'm curious about how one affects the other. It's amazing the kind of balancing act you have to deal with between these two protocols. I'm happy to see most everything within normal limits. Those LFT's are as Gracie said, "Stellar"! Keep after it buddy, you're looking good!



__________________

Tig

69 yo GT1A - 5 Mil - A2/F3 - (1996) Intron A - Non Responder, (2013) Peg/Riba/Vic SOT:05/23/13 EOT:12/04/13 SVR 11+ years!

Hep C FAQ   Lab Ref. Ranges  HCV Resistance

Signature Line Set Up/Abbreviations   Payment Assistance

 



Guru

Status: Offline
Posts: 618
Date:
Permalink  
 

Those are stellar results Mike. The raise in platelets is an indication of liver improvement I'd say. So not just SVR, but regeneration has started. WOOT! 



__________________
  1. Gracie

1A. Previously treated non responder Rebetron in 2000 And Incevik in 2014 with a breakthrough at week 12. Fibroscan 15.5. VL 6,000,000. Finished 24 weeks harvoni on Dec. 19, 2015. SVR. Latest Fibroscan 8.8.



Guru

Status: Offline
Posts: 1515
Date:
Permalink  
 

Looks like SVR in one short month from now Mike ...

excited for ya and wishin' you all the best!

 

Dave



__________________

63yy,HCV,2b,F3-A1, Sof/Riba,12wks Tx   SOT: 1/20/16, HCV-RNA 9,816,581, ALT 56, Hb 14.6

4wk: HCV-RNA <15 Detected, ALT 15, AST 17, Hb 13.6 EOT: 4/12/16, ALT 18 , Hb 12.9176a2f85d05d9c965eafe199f2ba9ba5.jpg SVR Achieved 7/8/16

 



Guru

Status: Offline
Posts: 681
Date:
Permalink  
 

Great news and yes onward to SVR



__________________

65 yo, GT1A, , Cirrhosis, F-Scan F4 33.5, TX Naive Harvoni 12 wks

SOT 2/9/16 / ALT 187 AST 114 VL 2.3M.    POSTS

EOT 5/2/16  ALT 35/ AST/25  platlets 126 C/B VL UND

EOT +12 7/26/16  ALT 25 /AST 22/ ALP 83  platlets 129 C/B VL UND

EOT + 24 10/18/16 ALT 27/ AST 20/ ALP 71 platlets 153 C UND

 * SVR *



Moderator

Status: Offline
Posts: 1559
Date:
Permalink  
 

These are my latest lab results done by my HIV doctor on 2-22-16. Everything looks pretty good, especially:
Absolute CD 4 Helper - 320
Platelets - 74 (up from 64 on 12-3-15)
ALT - 6
AST - 24 (a good indication that my HCV viral load continues to be UND)

____________________________

HIV-1 RNA by PCR 20 copies/mL?

I don't know what their problem is reporting viral load results. This doesn't say detected/undetected and I seriously doubt my result happens to be equal to the LLQ of 20. But that's okay, I'm sure the result is actually UND as usual.

Pretty good numbers for an old long term HIV survivor with a poor treatment history! smile

Onward to SVR...

 



-- Edited by wmlj1960 on Monday 7th of March 2016 12:55:56 AM

Attachments
__________________

60 yo, geno 1a, Dx 1994 HCV-HIV co-inf, Dx 2013 decompensated cirrhosis
Tx #1 - 24wks Sov+Riba /SOT 7-24-2014/UND@EOT/DETECTED@EOT+16 wks
Tx #2 - 24wks Harvoni /SOT 7-25-2015/UND@EOT,+12,+24,+52 = SVR

Mike

How To Create Your Signature / Forum Abbreviation Definitions

Support This Forum



Senior Member

Status: Offline
Posts: 197
Date:
Permalink  
 

wmlj1960 wrote:

 

from cirrhosis back to F3-4 and HCC free is my goal!


 We are both on the same train, my friend  

Had similar MRI without any fluid traces, only suspected lesion but not confirmed finally. 



__________________

G1b, stage 4, cirrhosis

Harvoni Tx: Jan-Jun 2015 for 24 wks, SVR12, SVR24

PrevTx : relapser, Sovaldi +Peg+Riba for 12 wks, Jun-Sep 2014

My thread



Guru

Status: Offline
Posts: 3398
Date:
Permalink  
 

Hi Mike,

Sorry I haven't had time to get back to you.

The 9mm vascular lesion in Segment 5 is no longer obvious. It obviously was a hyperplastic nodule.

I can see a small amount of free fluid around the splenic area, but go with the report. Without having the images on a monitor to manipulate, it's hard to get the complete picture.

Sounds good mate. No HCC! Cheers.



__________________

Geno 1b, IL28B CT,  x3 prior relapser,  ex-cirrhotic, 75 yo, did 48 weeks with Victrelis/Peg./Riba.  VL 1.28m at start, UNDET. at 8 ,12 ,16 ,24 ,30  and 48 weeks.  EOT 15 Feb 2013 , UNDET. at EOT + 28 weeks. SVR!  Still Undet. at EOT +5 years

Malcolm



Moderator

Status: Offline
Posts: 1559
Date:
Permalink  
 

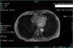
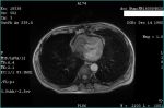
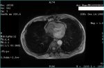
Malcolm, I sent you a link to access the complete MRI file. I know that will be more useful for you than me posting random images. My past MRI final reports usually mentioned small amounts of ascites fluid but the one done 10-14-2015 list "Trace Free Fluid Present" but it doesn't give a location. The newest report done 2-10-16 does not mention any fluid. What I do find odd is that the new report says my 9mm lesion is "not definitely identified". Does this mean the lesion is smaller than on previous MRI's or that the radiologist just didn't get a sufficient image of it on this MRI?

Attached are reports from:

4-15-15 image,

10-14-15 image

and 2-10-16 text

 

 

 

 

 



Attachments
__________________

60 yo, geno 1a, Dx 1994 HCV-HIV co-inf, Dx 2013 decompensated cirrhosis
Tx #1 - 24wks Sov+Riba /SOT 7-24-2014/UND@EOT/DETECTED@EOT+16 wks
Tx #2 - 24wks Harvoni /SOT 7-25-2015/UND@EOT,+12,+24,+52 = SVR

Mike

How To Create Your Signature / Forum Abbreviation Definitions

Support This Forum



Guru

Status: Offline
Posts: 3398
Date:
Permalink  
 

Mike,

The round sphere on image 2 is your aorta, full of contrast.

The image selsction is not helpful, as most are through the lower lungs and heart.

Image A260 is the only one through your liver and spleen. I don't understand the sequence used, but what the hell is the hyperintense stuff around your spleen? Looks like ascites, but it depends on what MRI technique is being used. Post some others if you like, particularly ones labelled T1 or T2. Even better, wait for the formal Radiology report. Cheers.



-- Edited by mallani on Thursday 11th of February 2016 08:40:55 AM

__________________

Geno 1b, IL28B CT,  x3 prior relapser,  ex-cirrhotic, 75 yo, did 48 weeks with Victrelis/Peg./Riba.  VL 1.28m at start, UNDET. at 8 ,12 ,16 ,24 ,30  and 48 weeks.  EOT 15 Feb 2013 , UNDET. at EOT + 28 weeks. SVR!  Still Undet. at EOT +5 years

Malcolm



Guru

Status: Offline
Posts: 681
Date:
Permalink  
 

You deserve you goal as you certainly paid your dues to get it!

We are in your ball court and can't wait to hear the good news when you get it.

 



__________________

65 yo, GT1A, , Cirrhosis, F-Scan F4 33.5, TX Naive Harvoni 12 wks

SOT 2/9/16 / ALT 187 AST 114 VL 2.3M.    POSTS

EOT 5/2/16  ALT 35/ AST/25  platlets 126 C/B VL UND

EOT +12 7/26/16  ALT 25 /AST 22/ ALP 83  platlets 129 C/B VL UND

EOT + 24 10/18/16 ALT 27/ AST 20/ ALP 71 platlets 153 C UND

 * SVR *



Moderator

Status: Offline
Posts: 1559
Date:
Permalink  
 

I got my MRI done this morning and the 'final report' should be posted to my patient portal hopefully in the next 3 or 4 days. I'll be keeping my fingers crossed till then. I got a copy on CD and looking at the images encourages me to keep taking care of my body.

SVR, from cirrhosis back to F2 and HCC free is my goal!

Malcolm, looking at that perfectly round white sphere in the 2nd attached image I'm hoping you will tell me I didn't swallow a marble. lol biggrin




-- Edited by wmlj1960 on Wednesday 10th of February 2016 08:41:50 PM



Attachments
__________________

60 yo, geno 1a, Dx 1994 HCV-HIV co-inf, Dx 2013 decompensated cirrhosis
Tx #1 - 24wks Sov+Riba /SOT 7-24-2014/UND@EOT/DETECTED@EOT+16 wks
Tx #2 - 24wks Harvoni /SOT 7-25-2015/UND@EOT,+12,+24,+52 = SVR

Mike

How To Create Your Signature / Forum Abbreviation Definitions

Support This Forum

Tig


Admin

Status: Offline
Posts: 9298
Date:
Permalink  
 

YEAH BUDDY!! Now you're talking the language I like to hear!! What's expected next is a big FAT SVR 

2015-08-30 08.37.36.jpg



__________________

Tig

69 yo GT1A - 5 Mil - A2/F3 - (1996) Intron A - Non Responder, (2013) Peg/Riba/Vic SOT:05/23/13 EOT:12/04/13 SVR 11+ years!

Hep C FAQ   Lab Ref. Ranges  HCV Resistance

Signature Line Set Up/Abbreviations   Payment Assistance

 



Guru

Status: Offline
Posts: 681
Date:
Permalink  
 

Excellent News Mike,

I cannot yet imagine how you must feel other than great.  Please do keep us updated

Cheers



__________________

65 yo, GT1A, , Cirrhosis, F-Scan F4 33.5, TX Naive Harvoni 12 wks

SOT 2/9/16 / ALT 187 AST 114 VL 2.3M.    POSTS

EOT 5/2/16  ALT 35/ AST/25  platlets 126 C/B VL UND

EOT +12 7/26/16  ALT 25 /AST 22/ ALP 83  platlets 129 C/B VL UND

EOT + 24 10/18/16 ALT 27/ AST 20/ ALP 71 platlets 153 C UND

 * SVR *



Senior Member

Status: Offline
Posts: 197
Date:
Permalink  
 

wmlj1960 wrote:

Got my EOT RNA PCR test result from 1-12-16 which was UND as expected. On to SVR in April. Next appointment Feb. 10 for MRI - HCC detection check.


 Congrats! it's awesome!!!

I'm pretty sure you are on road trip to your SVR-24.



__________________

G1b, stage 4, cirrhosis

Harvoni Tx: Jan-Jun 2015 for 24 wks, SVR12, SVR24

PrevTx : relapser, Sovaldi +Peg+Riba for 12 wks, Jun-Sep 2014

My thread



Guru

Status: Offline
Posts: 1515
Date:
Permalink  
 

Great news Mike!

So glad to hear that you're on track for SVR.

This wait is going to be worth it, just stay busy and time will fly right by.

Getting into making some good green smoothies will keep ya busy and make your liver a happy camper.

 

Dave



__________________

63yy,HCV,2b,F3-A1, Sof/Riba,12wks Tx   SOT: 1/20/16, HCV-RNA 9,816,581, ALT 56, Hb 14.6

4wk: HCV-RNA <15 Detected, ALT 15, AST 17, Hb 13.6 EOT: 4/12/16, ALT 18 , Hb 12.9176a2f85d05d9c965eafe199f2ba9ba5.jpg SVR Achieved 7/8/16

 



Guru

Status: Offline
Posts: 618
Date:
Permalink  
 

Great news Mike. You have got this. Must be a relief to have the EOT result. Now the waiting begins to get the final ok. It takes my doc 2-3 weeks to get her results back so it will be longer than that for my results. Some days I'm positive it's SVR, other days I'm positive it's not SVR. One thing is for sure, the results we are seeing are pretty darn amazing for us cirrhotics. Fingers crossed for you to continue on your SVR train.



__________________
  1. Gracie

1A. Previously treated non responder Rebetron in 2000 And Incevik in 2014 with a breakthrough at week 12. Fibroscan 15.5. VL 6,000,000. Finished 24 weeks harvoni on Dec. 19, 2015. SVR. Latest Fibroscan 8.8.



Guru

Status: Offline
Posts: 1031
Date:
Permalink  
 

Awesome Mike. Great news. Hope you are staying warm as I know Arkansas got hit with the storm. 



__________________

Wendy 53 y/o, DX 1994, geno 1A F1

1999 TX 1 - Inter -non responder 2001 TX 2 - Peg + Riba - viral load tripled and taken off

T3:  Harvoni 12 weeks Sept. 19, 2015 ALT 41 AST 30 VL 541800 UND at EOT and SVR 24 ALT 18 AST 26 platelets 223

 



Guru

Status: Offline
Posts: 5629
Date:
Permalink  
 

Congratulations to you, Mike!!!  Expected, yes, but nothing beats having it officially confirmed!

I'm so pleased for you, after all you've been through, and can't wait to celebrate your SVR!!  

All the best with your MRI, keep us updated...  smile



__________________

Jill 

(71 yo, lives in UK)

Was Gen 3a, 

24wks Peg Ifn/Riba, Sep 2010 - Mch 2011

UND @ Wk.4, UND @ EOT, 

SVR Nov 2011 --> Still UND @ EOT + 4 yrs.

 

 



Moderator

Status: Offline
Posts: 1559
Date:
Permalink  
 

Got my EOT RNA PCR test result from 1-12-16 which was UND as expected. On to SVR in April. Next appointment Feb. 10 for MRI - HCC risk check-up.



__________________

60 yo, geno 1a, Dx 1994 HCV-HIV co-inf, Dx 2013 decompensated cirrhosis
Tx #1 - 24wks Sov+Riba /SOT 7-24-2014/UND@EOT/DETECTED@EOT+16 wks
Tx #2 - 24wks Harvoni /SOT 7-25-2015/UND@EOT,+12,+24,+52 = SVR

Mike

How To Create Your Signature / Forum Abbreviation Definitions

Support This Forum



Guru

Status: Offline
Posts: 1782
Date:
Permalink  
 

Hey Mike 

Congrats on completing your 24 weeks, I know it's a long haul but well worth the result.

These next few weeks may be troubling, I remember 1 had a hard time starting out the mornings and energy was scant. Try to stay busy and pray for faith in your SVR.

I am thinking about you and saying prayers for your faith and confidence in being SVR

matt 



__________________

"And in the end, the love you take is equal to the love you make"

61 year old Geno type A1, F4 Cirrhotic, started 24 weeks on Harvoni 12-17-14 ,EOT-5 week = UND, 8-31-15 =UND , SVR-24 Baby YES! 



Guru

Status: Offline
Posts: 3398
Date:
Permalink  
 

Congrats Mike. You've got this.

You're an inspiration. Cheers.



__________________

Geno 1b, IL28B CT,  x3 prior relapser,  ex-cirrhotic, 75 yo, did 48 weeks with Victrelis/Peg./Riba.  VL 1.28m at start, UNDET. at 8 ,12 ,16 ,24 ,30  and 48 weeks.  EOT 15 Feb 2013 , UNDET. at EOT + 28 weeks. SVR!  Still Undet. at EOT +5 years

Malcolm



Guru

Status: Offline
Posts: 681
Date:
Permalink  
 

Congratulations Mike! Good going and you are the first person in here since I joined to hit this milestone.

You have been very kind and helpful.

Wishing only the best for you and looking for your post on SVR in the future! 



__________________

65 yo, GT1A, , Cirrhosis, F-Scan F4 33.5, TX Naive Harvoni 12 wks

SOT 2/9/16 / ALT 187 AST 114 VL 2.3M.    POSTS

EOT 5/2/16  ALT 35/ AST/25  platlets 126 C/B VL UND

EOT +12 7/26/16  ALT 25 /AST 22/ ALP 83  platlets 129 C/B VL UND

EOT + 24 10/18/16 ALT 27/ AST 20/ ALP 71 platlets 153 C UND

 * SVR *



Guru

Status: Offline
Posts: 796
Date:
Permalink  
 

Congrats Mike on finishing your tx.  Looking forward to the SVR celebration.  Happy for you.  :)



__________________

1b  Int/Riba relapse @ 48 weeks.  Stop tx Peg Int/Riba 12 weeks ill. Relapse S/O 6/23/14 :(   Started Harvoni 11/12/14  EOT 4/28/15.  EOT+4 UND :)  SVR! 8/4/15  :)     Thankful for every morning.



Guru

Status: Offline
Posts: 1515
Date:
Permalink  
 

Congratulations Mike ... ya done good!

You ARE an inspiration to us all, great job on stickin' to it the whole route and stickin' it to the Dragon, my hat's off to ya!

Your wonderful warm vibes were some of the first to greet me here, thanks for all that you do!

Keep us posted when the great news rolls in ... you got 'er done ... Back at ya with some of those wonderful great vibes!

 

Be Well,

Linux



-- Edited by Linuxter on Sunday 10th of January 2016 02:37:44 AM

__________________

63yy,HCV,2b,F3-A1, Sof/Riba,12wks Tx   SOT: 1/20/16, HCV-RNA 9,816,581, ALT 56, Hb 14.6

4wk: HCV-RNA <15 Detected, ALT 15, AST 17, Hb 13.6 EOT: 4/12/16, ALT 18 , Hb 12.9176a2f85d05d9c965eafe199f2ba9ba5.jpg SVR Achieved 7/8/16

 



Veteran Member

Status: Offline
Posts: 51
Date:
Permalink  
 

Congrats Mike! You got this... Looking forward to celebrating your SVR!

__________________

GT 3a, 56 yo male, diagnosed 3/15/15, infected 23+ years, F3, starting VL 10+ MIL.  ALT 86/AST 45.  Started 24 wks Sov/Riba 4/13/15.  5/14/15 thru 8/31/15 Undetected.  ALT 19, AST 14.  12/31/15:  SVR12!!!  01/06/17:  1 Year SVR (WOOT!!!)



Guru

Status: Offline
Posts: 618
Date:
Permalink  
 

What - no Oreos?  Man, you have been a saint! Awesome that your getting Bloodwork right away. Still, the wait is hard on the nerves. We shall wait together! I'm three weeks in now on the countdown. Somedays I'm sure it's gone, other days I'm sure it's back. UGH!!!!! Wish they had an instant test, like a pregnancy test, pee on a stick kinda thing... Lol. Oh well, we are fortunate my friend to have this chance as a good chance is better than no chance! Congrats on a great race to the finish line with an awesome training record. 



-- Edited by Gracie on Friday 8th of January 2016 10:47:22 PM

__________________
  1. Gracie

1A. Previously treated non responder Rebetron in 2000 And Incevik in 2014 with a breakthrough at week 12. Fibroscan 15.5. VL 6,000,000. Finished 24 weeks harvoni on Dec. 19, 2015. SVR. Latest Fibroscan 8.8.



Guru

Status: Offline
Posts: 5629
Date:
Permalink  
 

Well done, Mike, I`ve been waiting to see your post that you`ve finished your treatment!

You deserve all the good luck, good health and happiness that can possibly come your way, and I can`t wait to start celebrating your SVR!

Many, many thanks for everything you do here, and for being such an inspiration.  Like everyone else here I have so much respect for you and the way you`ve maintained such a positive and courageous attitude, and I wish you nothing but the best!

You really are a bright shining star!!  



__________________

Jill 

(71 yo, lives in UK)

Was Gen 3a, 

24wks Peg Ifn/Riba, Sep 2010 - Mch 2011

UND @ Wk.4, UND @ EOT, 

SVR Nov 2011 --> Still UND @ EOT + 4 yrs.

 

 



Senior Member

Status: Offline
Posts: 199
Date:
Permalink  
 

Mike,

I completely agree with everything Tig said.  Congrats starting strong, staying strong, and finishing strong.  You're an inspiration and a leader worthy of following on this journey.  I expect 100% that SVR is in your very near future!

Penny 



__________________

65;  Dx 1997 1a; VL 1.1m; TX naïve; SOT 7/20/15; 12 wks viek/riba 1200mg

09/14/15 draw: Undetected 8 wks into tx

10/12/15 draw: Undetected at EOT

01/05/16 draw: Undetected at E0T+12

Tig


Admin

Status: Offline
Posts: 9298
Date:
Permalink  
 

Congrats Mike! Your commitment to destroying your Dragon has gone through some very unpleasant neighborhoods, but your bravery and determination, have brought you through the storm, impressively I might add. We are all on our feet, applauding your achievement. If someone can be thrilled about finally reaching the end of treatment, it's you my friend. We are all strengthened by you and are grateful to have you here! SVR is next Brother, I see a strong and good aura around you....

image.jpeg



__________________

Tig

69 yo GT1A - 5 Mil - A2/F3 - (1996) Intron A - Non Responder, (2013) Peg/Riba/Vic SOT:05/23/13 EOT:12/04/13 SVR 11+ years!

Hep C FAQ   Lab Ref. Ranges  HCV Resistance

Signature Line Set Up/Abbreviations   Payment Assistance

 



Moderator

Status: Offline
Posts: 1559
Date:
Permalink  
 

Finished the Harvoni yesterday. I'll have EOT lab work done next Tuesday 1-12-16. I expect another good report since nothing has changed with my strategy: 100% adherence to med schedule, low sodium/low sugar/low preservative foods, no fried food, no sodas or alcohol, 1 gallon minimum purified water + low fat milk + fruit juice (not from concentrate when possible) per day, adequate exercise, adequate rest and no 'whining' lol. biggrin



__________________

60 yo, geno 1a, Dx 1994 HCV-HIV co-inf, Dx 2013 decompensated cirrhosis
Tx #1 - 24wks Sov+Riba /SOT 7-24-2014/UND@EOT/DETECTED@EOT+16 wks
Tx #2 - 24wks Harvoni /SOT 7-25-2015/UND@EOT,+12,+24,+52 = SVR

Mike

How To Create Your Signature / Forum Abbreviation Definitions

Support This Forum



Guru

Status: Offline
Posts: 5629
Date:
Permalink  
 

Great looking numbers there, Mike!  You`re heading in the right direction, keep doing what you`re doing!  smile

 



__________________

Jill 

(71 yo, lives in UK)

Was Gen 3a, 

24wks Peg Ifn/Riba, Sep 2010 - Mch 2011

UND @ Wk.4, UND @ EOT, 

SVR Nov 2011 --> Still UND @ EOT + 4 yrs.

 

 



Guru

Status: Offline
Posts: 1782
Date:
Permalink  
 

Hey Mike

Numbers are showing SVR is in your future. Yes!

matt



__________________

"And in the end, the love you take is equal to the love you make"

61 year old Geno type A1, F4 Cirrhotic, started 24 weeks on Harvoni 12-17-14 ,EOT-5 week = UND, 8-31-15 =UND , SVR-24 Baby YES! 

Tig


Admin

Status: Offline
Posts: 9298
Date:
Permalink  
 

Hey Mike,

Wow! Those results are stellar!! Congrats on the obvious attention to proper care and healthy lifestyle. It's obviously paying off. Keep it up buddy! smile



__________________

Tig

69 yo GT1A - 5 Mil - A2/F3 - (1996) Intron A - Non Responder, (2013) Peg/Riba/Vic SOT:05/23/13 EOT:12/04/13 SVR 11+ years!

Hep C FAQ   Lab Ref. Ranges  HCV Resistance

Signature Line Set Up/Abbreviations   Payment Assistance

 



Moderator

Status: Offline
Posts: 1559
Date:
Permalink  
 

kalelalee wrote:

Also numbness and tingling in feet and hands.

_______________________________________

It's like the pain nerves are ultra sensitive and if they made noise, I would hear screaming.. Anyway, Guess there is no easy way to rid ourselves of this nasty monster..


 Hi again Kalela. There are medications that can help but since I am so 'anti-pain medication' due to most of them being harmful to the liver, I recommend trying narcotic free solutions used by us amputees for residual limb nerve pain, and has also helped me with peripheral neuropathy pain. One thing is to use an ice pack placed in your lower back area. Also a transcutaneous electrical nerve stimulation (TENS) unit has been helpful for me, especially when I'm having trouble going to sleep at night.  Also, as Gracie said, therapeutic exercises help. I am currently doing sessions of PT for nerve pain related to spinal injury last year, which hurts to do, but I am virtually pain free after each session and the length of time I stay pain free increases with each day. I hope your pain issues improve soon. Try to keep occupied with anything to take your mind off of it during the day, TENS at night and keep your mind on the big picture with an SVR payoff. smile



__________________

60 yo, geno 1a, Dx 1994 HCV-HIV co-inf, Dx 2013 decompensated cirrhosis
Tx #1 - 24wks Sov+Riba /SOT 7-24-2014/UND@EOT/DETECTED@EOT+16 wks
Tx #2 - 24wks Harvoni /SOT 7-25-2015/UND@EOT,+12,+24,+52 = SVR

Mike

How To Create Your Signature / Forum Abbreviation Definitions

Support This Forum



Guru

Status: Offline
Posts: 796
Date:
Permalink  
 

Hi Kalela, glad you're on the Harvoni train.  The six month's Harvoni did it for me, and I'm sure it will bring you SVR. :) I also experienced the tingling, joint, and muscular pain while on tx.  Still have some of this post tx but does seem to be improving a bit.  I suspect age may also a factor.  As Gracie said, the exercise really helps. I started taking Lyrica post tx which seems to diminish the tingling and numbness in the hands and feet. Wish it did more for the arthritis.  Good luck with your treatment, the time passes quickly.  On a good note, my platelet count has risen about 25 points since I finished treatment.



__________________

1b  Int/Riba relapse @ 48 weeks.  Stop tx Peg Int/Riba 12 weeks ill. Relapse S/O 6/23/14 :(   Started Harvoni 11/12/14  EOT 4/28/15.  EOT+4 UND :)  SVR! 8/4/15  :)     Thankful for every morning.



Moderator

Status: Offline
Posts: 1559
Date:
Permalink  
 

12-3-15 Labs = other than platelets @ 64 (as expected), not bad for an old worn out cirrhotic. biggrin



Attachments
__________________

60 yo, geno 1a, Dx 1994 HCV-HIV co-inf, Dx 2013 decompensated cirrhosis
Tx #1 - 24wks Sov+Riba /SOT 7-24-2014/UND@EOT/DETECTED@EOT+16 wks
Tx #2 - 24wks Harvoni /SOT 7-25-2015/UND@EOT,+12,+24,+52 = SVR

Mike

How To Create Your Signature / Forum Abbreviation Definitions

Support This Forum



Guru

Status: Offline
Posts: 618
Date:
Permalink  
 

I'm on the 24 week plan too Kalela, and am having the same pain issues. Feet and hands. And I know what you mean about screaming too! Excellent way to describe it. Some mornings I wake up and the pain between my hands going up into my arms does feel like screaming nerves. What I have found helps me is exercise. I even went on line and found hand exercises for when the hands get bad and it helps! My pain cycles... Some days there is none at all, and some days I wake up and hobble into the bathroom. It lessons the longer I'm up and walking around, and it hasn't stopped me from doing things. I even manage a 5k run once a week or so. 

Keep up the fight! We are all here for you! 

PS I failed that treatment too as well as the triple with incevik.... My first VL was undetected, this stuff really works!



__________________
  1. Gracie

1A. Previously treated non responder Rebetron in 2000 And Incevik in 2014 with a breakthrough at week 12. Fibroscan 15.5. VL 6,000,000. Finished 24 weeks harvoni on Dec. 19, 2015. SVR. Latest Fibroscan 8.8.

«First  <  1 2 3 4  >  Last»  | Page of 4  sorted by
 
Quick Reply

Please log in to post quick replies.

Legal Disclaimer:

THIS FORUM, IT'S OWNERS, ADMINISTRATORS, MODERATORS AND MEMBERS DO NOT AT ANY TIME GIVE MEDICAL ADVICE AND IN ALL CASES REFER ANYONE HERE TO SEEK APPROPRIATE MEDICAL ADVICE FROM THEIR DOCTOR.